bioengineering & biochemistry

Ty Zhang's Portfolio

Portrait

Photograph

Background

Undergraduate student at the University of Pittsburgh pursuing studies in bioengineering and biochemistry, with a research focus on liver tumor.

Institution

University of Pittsburgh

Affiliation

Department of Bioengineering, Swanson School of Engineering
Department of Biological Science, Dietrich School of Arts and Sciences
Organ Pathobiology and Therapeutics Institute

Fields

Bioengineering
Biochemistry

Location

Pittsburgh, PA

Research, coursework, and projects.

The problem, methodology, and outcomes.

01
Bridge model
Project · Engineering · 2025

Bridge

Building and testing of bridge models to analyze structural integrity and load distribution.

Role — Engineer
View details →
02
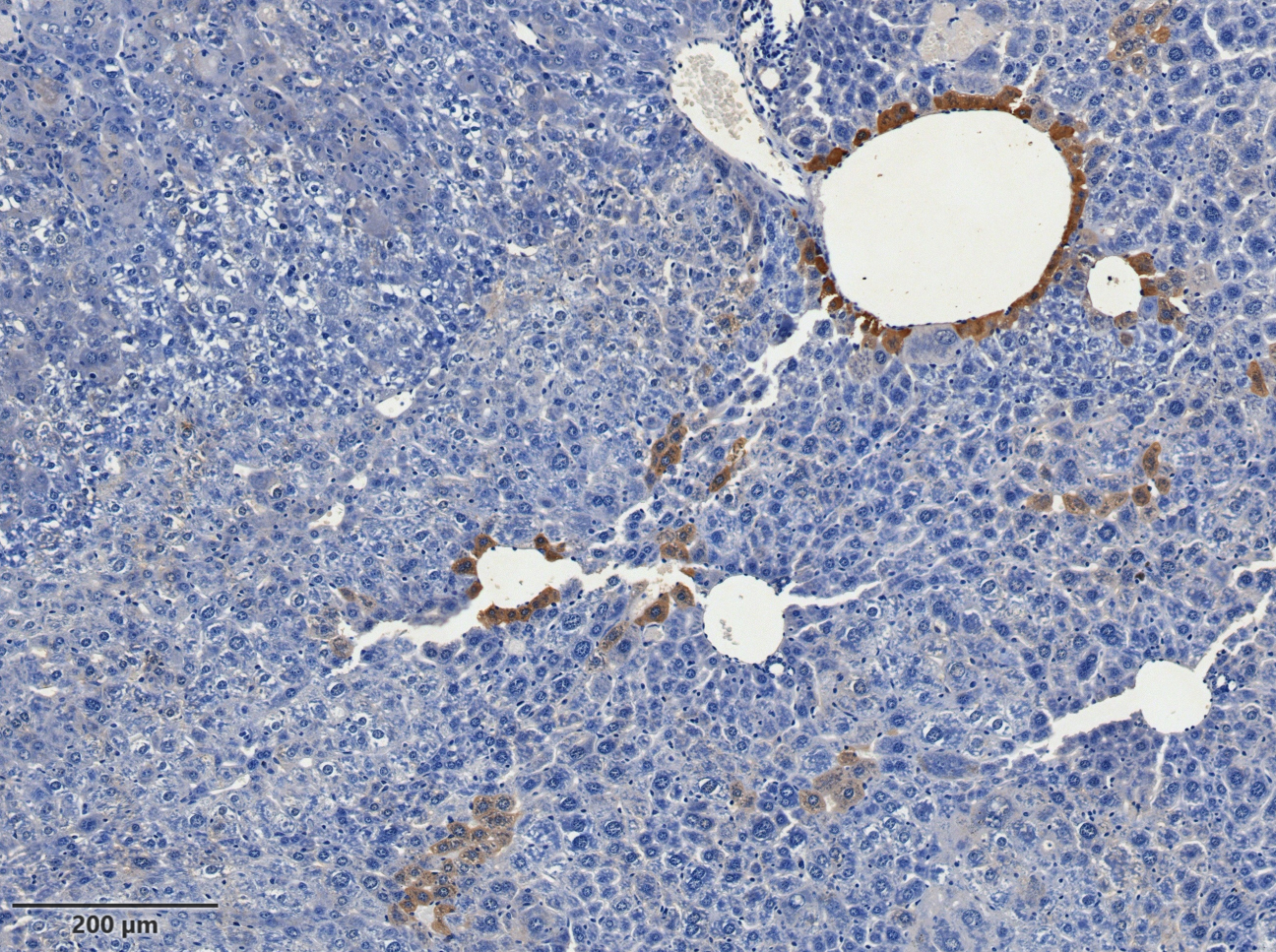
Liver cancer
Lab · OPTIn · 2026

Liver Cancer

Study of beta-catenin induced liver tumorigenesis in Met-Nrf2 mouse model.

Role — Undergraduate researcher
Collaborators Dr. Junyan Tao
Methods immunohistochemistry · pathway analysis
View details →
03
Simian Virus 40 OBD Protein
Lab Coursework · 2026

Simian Virus 40 OBD Protein

Purification and analysis of the Simian Virus 40 OBD protein, a key player in viral replication.

Role Researcher
View details →

Technical skills.

Methods and tools applied across research, coursework, and projects.

Laboratory

  • Cell culture
  • Immunohistochemistry
  • Gel electrophoresis
  • Protein purification
  • Mini-prep

Engineering

  • Mechanics
  • Thermodynamics
  • MATLAB
  • Python
  • Java
  • C

Analysis & comms

  • LaTeX
  • Scientific writing
  • ImageJ / FIJI
  • Figure design
  • Adobe Creative Cloud
  • Excel